Plombe
Kod nas se nećete osjećati kao samo jedan u nizu pacijenata.





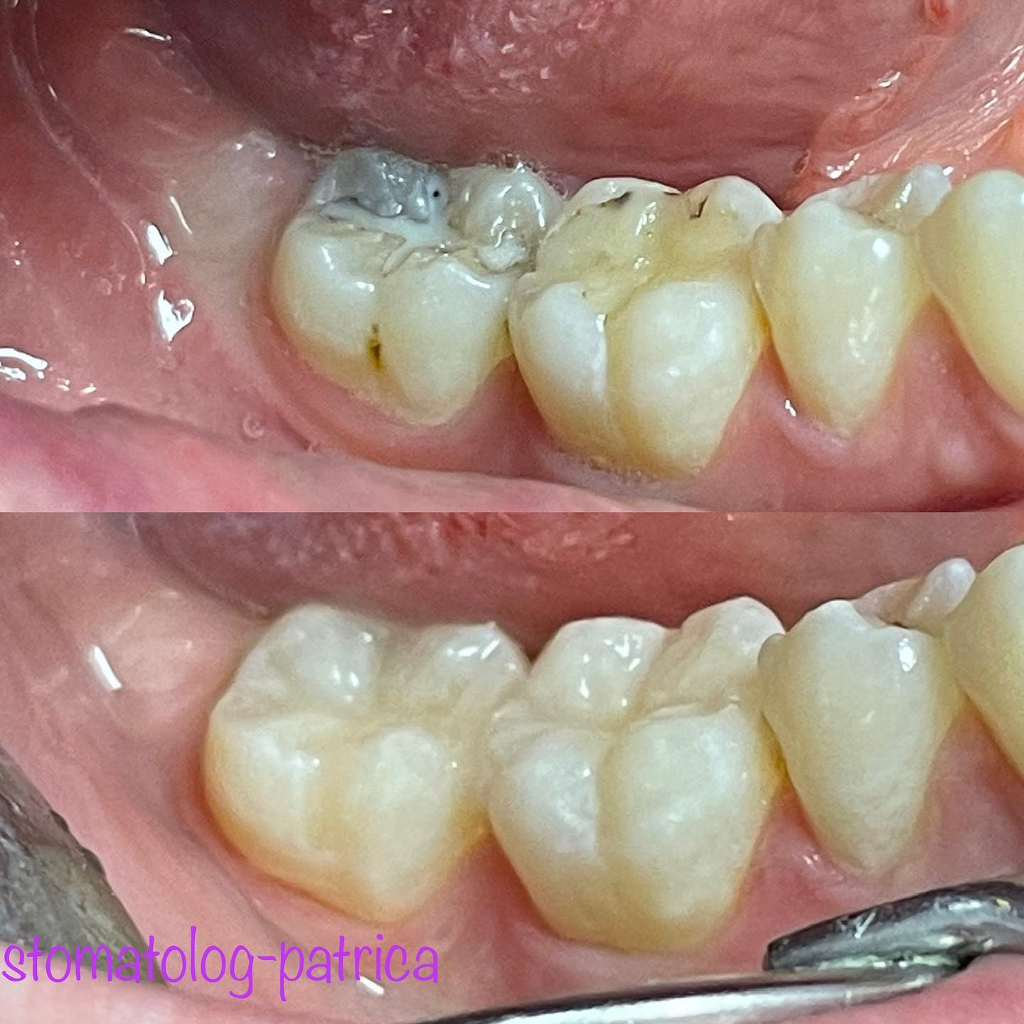
Estetski ispuni (bijele plombe)
Izrada zubnog ispuna je minimalno invazivni stomatološki zahvat kojim se rekonstruiraju (nadograđuju) dijelovi zuba zahvaćeni karijesom ili manji dijelovi zuba slomljeni traumom.
Kompozitni ispuni (bijele plombe) se izrađuju direktno (odmah u ordinaciji). Oni su gotovo u potpunosti istisnuli iz uporabe amalgamske (tamne, srebrne plombe). Vežu se mikromehanički i kemijski za tvrda zubna tkiva, pa je za njihovu izradu potrebno minimalno odstranjenje karijesom promijenjenog zubnog tkiva. Uz adekvatan izbor boje i vrstu kompozitnog materijala, te oponašanjem prirodnog morfološkog oblika pojedinog zuba, moguće je postići savršen estetski i funkcijski rezultat.
Keramičke plombe (Inlay-i, Overlay-i)
Inley-i, Overlay-i se izrađuje od keramike (keramička plomba) i njegova je izrada indicirana kod nešto opsežnijih oštećenja na stražnjim zubima (pretkutnjacima, kutnjacima). Idealno je rješenje kada kvalitetno, minimalno invazivano želimo povisiti zagriz. Inlay se izrađuje indirektno u dentalnom laboratoriju na temelju otiska uzetog u ordinaciji. Gotov inlay se vraća u ordinaciju, gdje ga cementiramo u kavitet (rupu) zuba. Zbog kvalitete materijala iz kojeg je izrađen, funkcijski je i estetski superiorniji od kompozitnog ispuna. Osim od keramike, inlay se može izraditi indirektno u dentalnom laboratoriju od zlata i kompozitnog materijala.
Recenzije
Naručite se na
besplatni pregled
Obratite nam se s povjerenjem jer ćete biti dočekani i ispraćeni s osmijehom.